Can Leflunomide prevent Methotrexate induced liver toxicity?
Abstract
INTRODUCTION: Long-term clinical use of Methotrexate is to connect with a
raised risk of liver injury and fibrosis. Leflunomide is a is a
disease-modifying drug. Leflunomide has a powerful inhibitory effect on nuclear
factor kappa B activation. Leflunomide also presents antioxidant activity. In
this experimental study, we aimed to investigate the effects of Leflunomide
treatment on Methotrexate -induced hepatotoxicity.
METHODS: Thirty-nine rats were divided into 4 groups. A single dose of 20mg/kg
Methotrexate was injected intraperitoneally for Methotrexate-induced
hepatotoxicity. After induction, Leflunomide (10 mg/kg) was administered into
the stomach for consecutive 5 days. Then, serum samples and homogenated liver
tissues were collected for analyzed serum alanine aminotransferase, alkaline
phosphatase, superoxide dismutase activity, myeloperoxidase activity,
glutathione levels and assessment of histopathology.
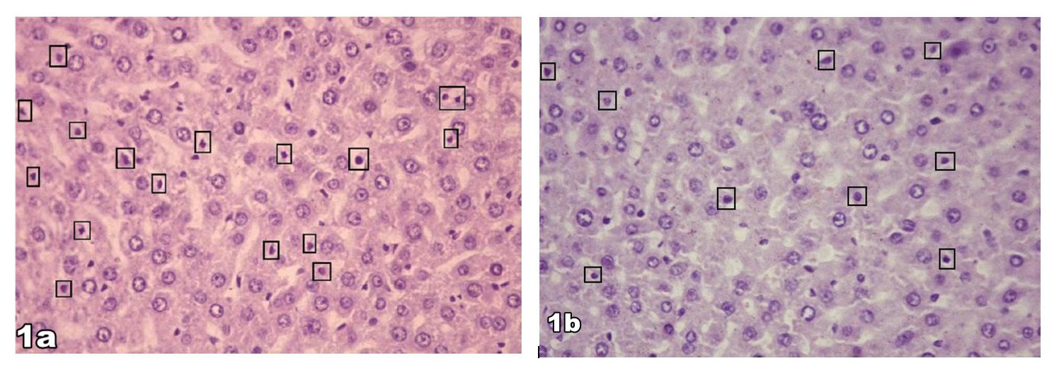
RESULTS: Leflunomide treatment significantly ameliorated total histopathologic
score according to semiquantitative scale compared to the untreated group,
(Pathological score 1.1+0.7 versus 5.1+2 respectively, p<0,01). Leflunomide
treatment significantly ameliorated Kuppfer cell activation. (Elevation of the
activated Kupffer cells score were 0.2+0.6 and 2.5+1.01 respectively, p =
0.001). The serum alanine aminotransferase, alkaline phosphatase levels were
lower and glutathione levels, myeloperoxidase activity, and superoxide
dismutase activity were similar between Leflunomide treated and untreated
Methotrexate toxicity groups.
DISCUSSION AND CONCLUSION: Leflunomide treatment ameliorated Methotrexate
induced liver toxicity in an experimental model.
Keywords
Kaynakça
- References
- 1.Feagan BG, Alfadhli A. Methotrexate in inflammatory bowel disease. Gastroenterol Clin North Am 2004;33:407-420
- 2. Richard S, Guerret S, Gerard F, Tebib JG, Vignon E. Hepatic fibrosis in rheumatoid arthritis patients treated with methotrexate: application of a new semi-quantitative scoring system. Rheumatology (Oxford)2000;39:50-54.
- 3. Beyeler C, Reichen J, Thomann SR, Lauterburg BH, Gerber NJ. Quantitative liver function in patients with rheumatoid arthritis treated with low dose methotrexate: A longitudinal study. Br J Rheumatol 1997;36:338-344.
- 4. Boffa MJ, Chalmers RJ, Haboubi NY, Shomaf M, Mitchell DM. Sequential liver biopsies during long-term methotrexate treatment for psoriasis: A reappraisal. Br J Dermatol 1995;133:774-778.
- 5. Neuman MG, Cameron RG, Haber JA, Katz GG, Malkiewicz IM, Shear NH. Inducers of cytochrome P450 2E1 enhance methotrexate induced hepatotoxicity. Clin Biochem 1999;32:519-536.
- 6. Mladenovıc V, Domljan Z, Rozman B et al. Safety and effectiveness of leflunomide in the treatment of patients with active rheumatoid arthritis. Results of a randomized, placebo-controlled, phase II study. Arthritis Rheum 1995;38:1595-1603.
- 7. MannaSK, Aggarwal BB. Immunosuppressive leflunomide metabolite (A77 1726) blocks TNF-dependent nuclear factor-kappa B activation and gene expression. J Immunol. 1999;162:2095-2102.
Ayrıntılar
Birincil Dil
İngilizce
Konular
-
Bölüm
Araştırma Makalesi
Yazarlar
Ufuk Kutluana
*
Türkiye
Nevin Oruç
Bu kişi benim
Türkiye
Selma Dinçer Tekekoğlu
Bu kişi benim
Türkiye
Neşe Çallı Demirkan
Türkiye
Beyza Akdağ
Bu kişi benim
Türkiye
Mustafa Yılmaz
Türkiye
Nadir Yönetçi
Bu kişi benim
Türkiye
Ömer Özütemiz
Bu kişi benim
Türkiye
Yayımlanma Tarihi
28 Eylül 2018
Gönderilme Tarihi
3 Şubat 2018
Kabul Tarihi
9 Ağustos 2018
Yayımlandığı Sayı
Yıl 2018 Cilt: 11 Sayı: 3
